Carmella est une chienne stérilisée de 9 ans, de type Staffordshire Terrier Americain. Elle est amenée pour la première fois au cabinet pour une boiterie chronique de l’antérieur droit, apparue soudainement à la suite d’une promenade, six mois plus tôt. Son propriétaire est inquiet de l’apparition récente d'un nodule sous cutané sur la face dorsale du carpe droit.
Une intolérance digestive aux AINS après quelques jours d'utilisation consécutifs contre-indique leur prescription.
Dès les premières consultations, un lien de confiance s’est rapidement instauré avec Carmella et son propriétaire, facilitant ainsi les examens cliniques et complémentaires, tout en préservant le comportement naturel de Carmella.
Carmella présente un bon état général mais un surpoids important : 38 kg pour un poids idéal de 28/30 kg.
L'examen clinique des principales grandes fonctions ne révèle aucune anomalie significative. Je ne note pas de multi-morbidité douloureuse. Il y a une sclérose cristallinienne modérée et une diminution de ses capacités locomotrices, bien que Carmella reste joueuse. Deux nodules indurés bénins de 1 cm de diamètre sont observés en sous-cutané : l'un au niveau des cervicales et l'autre en regard du carpe droit.
A l'examen orthopédique, on observe une légère boiterie touchant plusieurs membres pendant la marche (grade 2/5). Elle présente des tremblements du membre antérieur droit et replie son carpe droit sous elle lorsqu’elle se couche. Elle garde la tête basse et le dos rond. Carmella montre une sensibilité nette à la palpation/pression de la colonne vertébrale au niveau de la charnière thoraco-lombaire. Aucune réaction algique à la manipulation du carpe droit. La proprioception est normale sur les 4 membres.
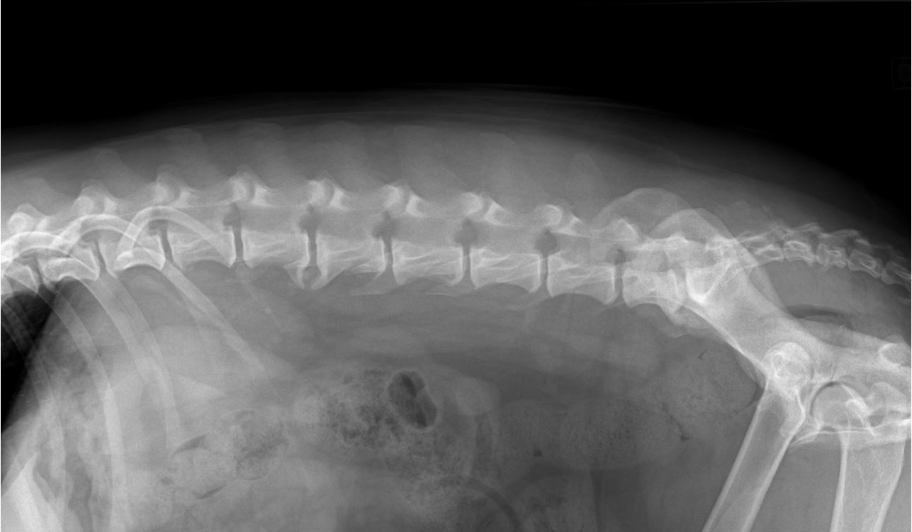
La radiographie de profil de la colonne lombaire montre des ostéophytoses entre L2-L3 et L7- Sacrum. Les radiographies de face et profil des carpes montrent des congruences articulaires normales et l'absence d'ostéophytose.

Photographie issue de la collection privée de l’auteur – Radiographie colonne lombaire profil droit Carmella
Un examen tomodensitométrique du carpe droit a montré que la lésion nodulaire observée est probablement un kyste mucoïde bénin et conclue en l'absence de signe d'arthropathie dégénérative.
Afin d’impliquer pleinement le propriétaire dans le suivi de son animal douloureux, nous utilisons la grille CSOM (Client-Specific Outcomes Measures) développée par CAP Douleur afin d'évaluation les douleurs d’arthrose de Carmella.
Nous avons retenu trois critères représentatifs permettant d’évaluer l’état douloureux de Carmella :
Son score CSOM lors de cette première visite est de 9/12
Marche : difficulté évidente 3/4
Léchage localisé : souvent (1 à 2 fois/j) 3/4
Anxiété : souvent 3/4
Afin d'améliorer la mobilité de Carmella et de préserver sa qualité de vie, nous décidons, avec le propriétaire, de mettre en place un programme de soins sur mesure :
Suivi à 1 mois
Très rapidement après la mise en place du projet thérapeutique, le propriétaire remarque que Carmella monte plus facilement dans la voiture et est plus volontaire pour les promenades quotidiennes. Cependant lors de ces dernières, Carmella cherche à faire demi-tour rapidement. Elle persiste à replier et lécher très souvent son carpe droit. Son regard est joyeux. Elle a pris 1 kilos malgré la mise en place du régime. L'examen clinique est normal, le score de boiterie 2/5.
Son score CSOM à 1 mois est de 8/12
Marche : difficulté évidente 3/4
Léchage localisé : très souvent (plus de 3 fois/j) 4/4
Anxiété : 1/4
Suivi à 45 jours
Une nette amélioration est visible. Carmella fait désormais des promenades plus longues avec plaisir. Son propriétaire indique qu'elle n'a aucune difficulté à marcher et ne replie son carpe droit que très rarement. Lors de la consultation, aucune boiterie n’a été observée. Une légère tension est notée lors de la palpation de la zone thoraco-lombaire.
Son score CSOM à 45 jours est de 2/12
Marche : aucune difficulté 0/4
Léchage localisé : rarement 1/4
Anxiété : 1/4
Suivi à 2 mois
Carmella n’a pas présenté de perte de poids, son poids restant stable à 39,2 kg.
Depuis quelques jours, une lenteur à la marche ainsi qu’une fatigabilité lors des sorties ont été observées. Le score de boiterie est actuellement évalué à 3/5, avec une exacerbation de la douleur après l’effort. Carmella reste très calme en consultation, garde la tête basse et se lèche très souvent son carpe droit. Je prescris un traitement par anti-inflammatoire non stéroïdien pour une durée de 3 jours.
Son score CSOM à 2 mois est de 7/12
Marche : difficulté modérée 2/4
Léchage localisé : souvent (1 à 2 fois/j) 3/4
Anxiété : parfois 2/4


Histogramme issu de la grille digitale CSOM – CAPdouleur. Utilisé avec l'autorisation de CAPdouleur dans le cadre de ce cas clinique à visée pédagogique. Tous droits réservés – reproduction interdite sans accord préalable.
À la suite de la mise en place de ce protocole de prise en charge personnalisé, la qualité de vie de Carmella s’est nettement améliorée : sa démarche est devenue plus facile, son dos moins voûté, et son regard plus vif. Elle a repris des promenades plus longues, au cours desquelles elle manifeste un comportement plus interactif avec son propriétaire. Carmella accepte volontiers les bouchées Movoflex®, intégrées dans un rituel ludique sous forme de jeu.
Ces résultats positifs sur la mobilité et le bien être au quotidien montrent l'intérêt d'une association d'un chondroprotecteur complet dans le cadre de la gestion multimodale des troubles articulaires. La prise quotidienne de l'aliment complémentaire chondroprotecteur a certainement agit en relais des séances de laser pour maintenir les structures articulaires.
Ce rituel quotidien d’administration de Movoflex®, au-delà de son intérêt nutritionnel et thérapeutique, constitue une interaction positive répétée, renforçant le lien affectif entre Carmella et son maître.
L’augmentation du score CSOM observée deux mois après le début du suivi pourrait être associée à une reprise de l’activité physique ayant entraîné une sollicitation articulaire plus accrue, effet d’autant plus marqué que la chienne n’a pas présenté de perte de poids durant cette période. Cette évolution pourrait s’expliquer par une reprise insuffisamment progressive de l’exercice, ne permettant pas une adaptation optimale des structures articulaires. Sa fatigue pourrait également être liée à un début du mois de septembre 2024 particulièrement chaud, ainsi qu'à son surpoids.
Il apparaît donc justifié d’intégrer, dans ce projet thérapeutique, des recommandations pour une reprise progressive de l’activité, accompagnée d’un suivi nutritionnel visant une réduction pondérale effective. Cette approche permettrait de limiter les risques de récidive douloureuse ou d’aggravation des lésions articulaires, tout en soulignant que le projet reste évolutif et pourra être ajusté en fonction des progrès réalisés au fil du temps et du score d'évaluation de la douleur par le propriétaire.
