Une otite se définit comme une inflammation siégeant au niveau d’une ou de plusieurs structures auriculaires, qu’il s’agisse du pavillon auriculaire, du conduit auditif ou des structures plus profondes. Au départ, une otite aiguë est peu symptomatique mais elle doit impérativement être traitée pour empêcher qu’elle ne s’aggrave et ne devienne chronique.
L’évolution d’une otite ressemble beaucoup à celle de la dermatite atopique canine (DAC) : le premier stade est celui de l’inflammation (otite érythémateuse), le deuxième est celui de la dysbiose (otite érythémato-cérumineuse ou OEC) et l’absence de traitement conduit au stade d’otite chronique avec infection secondaire (otite suppurée).
La phase inflammatoire
Lorsqu’une otite évolue seulement depuis quelques jours, les signes cliniques sont généralement discrets : le pavillon est érythémateux et un prurit est présent. L’examen otoscopique met en évidence un érythème diffus du conduit et des sécrétions en quantités peu importantes.

Crédit photo : Dr. Vet E. Bensignor
Au cours de cette première phase, l’inflammation siège au niveau de l’épithélium ou des glandes situées dans les conduits auditifs, les glandes sébacées et les glandes cérumineuses.
La phase de dysbiose

Crédit photo : Dr. Vet E. Bensignor
La prolongation de la phase inflammatoire provoque un déséquilibre de la flore locale : des bactéries et des levures se multiplient en quantités anormales et cette phase de dysbiose ouvre la porte à une infection chronique. Dans le premier mois d’évolution, les bactéries qui prolifèrent sont essentiellement des Gram + (cocci).
Le phénomène est identique à celui mis en évidence sur la peau des chiens atopiques : suite à une stimulation cutanée, la composition de la flore cutanée se modifie, le microbiote est dérégulé1.
La phase d’infection

Crédit photo : Dr. Vet E. Bensignor
Au stade d’otite suppurée chronique, la douleur pour le chien est devenue forte. Ce troisième stade de l’évolution d’une otite est généralement atteint au bout de plusieurs semaines à plusieurs mois. En l’absence de traitement adéquat, des granulocytes neutrophiles sont apparus et on constate la production de pus. Lorsque l’otite dure depuis plus de 30 jours, les germes Gram - deviennent fréquents (Proteus ou Pseudomonas). Les granulocytes et les bactéries sont visibles à l’examen otoscopique.
Outre la sténose et parfois l’occlusion complète du conduit, les lésions prolifératives de l’épithélium peuvent conduire à une lésion du tympan : la membrane est alors opacifiée et les vaisseaux sont visibles. Du « matériel » anormal est parfois visible derrière le tympan, ce qui signifie que l’otite risque de concerner les structures internes de l’oreille. La présence de signes neurologiques confirme que celles-ci sont atteintes.
La minéralisation des tissus complique beaucoup le traitement médical et l’approche chirurgicale devient progressivement incontournable.
L’examen clinique doit concerner toutes les structures accessibles : palpation de la base de l’oreille, inspection du pavillon auriculaire, du conduit auditif (dans sa partie verticale et horizontale) et du tympan. Un otoscope de bonne qualité est évidemment indispensable pour bien visualiser l’état du conduit et du tympan mais la vidéo-otoscopie présente un avantage majeur car elle permet de mieux éclairer le conduit. De plus, les loupes des vidéo-endoscopes sont plus puissantes que celles des otoscopes classiques.
C’est cependant l’association des observations cliniques et des résultats de l’examen cytologique qui permet de décider du traitement le mieux adapté. En présence d’une exsudation (otite cérumineuse ou suppurative), l’examen cytologique est à réaliser systématiquement. L’aspect macroscopique du cérumen ou du pus est insuffisant pour deviner ce qui se passe dans l’oreille.
Il faut idéalement prélever dans les portions verticale et horizontale du conduit (en tirant le pavillon vers l’arrière pour passer facilement l’écouvillon). Les prélèvements seront de préférence faits en utilisant les bâtonnets fournis par les centrales : il faut qu’ils soient de grande taille et que le coton ne se délite pas à l’intérieur du conduit. Lorsque le temps manque pour faire une coloration complète, le simple passage au bleu de méthylène peut suffire pour visualiser les bactéries, les granulocytes et les Malassezia.
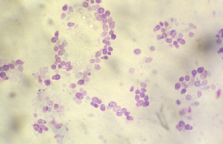
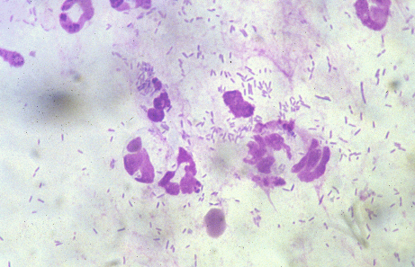
Les éléments visibles à l’examen cytologique sont faciles à décrypter :

Crédit photo : Dr. Vet E. Bensignor

Crédit photo : Dr. Vet E. Bensignor

Crédit photo : Dr. Vet E. Bensignor
L’efficacité du traitement dépend du choix des médicaments à administrer (en fonction du type d’otite), de la bonne observance du propriétaire (qui laisse toujours à désirer dans ce type d’affection) et du suivi de l’animal. Il est essentiel d’expliquer au propriétaire l’importance de respecter le protocole thérapeutique pour éviter le risque de rechute et de chronicité de l’otite.
Choix des produits à utiliser
Les produits à utiliser dépendent de la présentation de l’otite : un nettoyant n’est nécessaire qu’en présence d’une otite exsudative, en adaptant le produit à la nature de l’exsudat. On utilisera un produit lipophile si les sécrétions sont très cérumineuses, et un produit plutôt hydrophile en présence de sécrétions purulentes. De quotidienne au départ, la fréquence du nettoyage diminuera au fur et à mesure que l’oreille devient propre.
Des antimicrobiens (antibiotiques ou antifongiques) ne seront administrés qu’en cas de dysbiose majeure ou d’infection suppurée.
En revanche, dès qu’il y a inflammation, il est impératif d’administrer systématiquement des anti-inflammatoires stéroïdiens (AIS) par voie locale. Le dermocorticoïde à utiliser sera choisi de manière à adapter la puissance de la molécule à l’intensité de l’érythème. Il existe en effet des médicaments qui sont 50 à 100 fois plus puissants que l’hydrocortisone.
Le traitement réactif
Le traitement initial vise d’abord à faire rétrocéder l’inflammation et éventuellement l’infection si elle est présente. Il durera jusqu’à constater la guérison clinique, une normalisation de l’épithélium et des glandes du conduit auditif, ainsi qu’un retour à un microbisme normal. Cette approche est dite réactive et il n’existe aucune règle quant à la durée du traitement : elle dépend de l’évolution de l’otite. Dans le cas d’une OEC modérée sans dysbiose majeure, le traitement pourra par exemple être administré pendant 7 à 14 jours, avec un contrôle à la fin.
Une amélioration n’est pas synonyme de guérison et c’est pour cela que les visites de contrôle sont si importantes. Un examen clinique et cytologique sera réalisé à chaque visite et l’évolution des lésions avec le temps sera présentée au propriétaire. Cela facilite son adhésion au traitement ainsi que l’ajustement des prescriptions.
Un arrêt trop précoce du traitement rend les rechutes inévitables et l’animal sera de plus en plus difficile à traiter. Des souches bactériennes résistantes risquent en effet d’être sélectionnées lors des traitements antibiotiques répétés et la situation va progressivement empirer.
En cas d’otite suppurée
Ces cas sont toujours très difficiles à traiter et il n’existe pas de recette miracle.
Idéalement, un flushing du conduit auditif sera réalisé sous anesthésie générale et sous contrôle vidéo-otoscopique, afin d’éliminer au maximum le biofilm et les sécrétions auriculaires.
Des techniques d’imagerie (scanner ou éventuellement IRM) permettront d’évaluer la bulle tympanique et si besoin, une myringotomie (paracentèse) sera effectuée pour flusher la bulle. Après antibiogramme, des antibiotiques seront administrés dans la bulle ainsi que par voie générale. Des traitements locaux répétés pendant plusieurs semaines à plusieurs mois seront également indispensables pour lutter contre le biofilm bactérien. Tous ces efforts ne garantissent malheureusement pas qu’un traitement chirurgical ne sera pas finalement nécessaire.
En clientèle généraliste, la DAC est à l’origine de plus de 60 % des cas d’otite canine. Les corps étrangers viennent à la 2e place (16 % des cas), suivis par d’autres causes primaires de moindre importance : autres maladies allergiques, baignades, épilation, sténose du conduit auditif, parasites auriculaires, maladies auto-immunes, tumeurs du conduit auditif, etc.
Tenir compte d’un éventuel terrain allergique est donc très important pour le pronostic de l’otite. Il est indispensable de traiter la tendance inflammatoire pour éviter les récidives.
Il est indispensable de prendre en charge une otite le plus tôt possible afin de limiter le risque de passage à l’infection et à la chronicité. Sur un plan économique, c’est aussi mieux pour le propriétaire.
Réalisés à chaque visite de contrôle, les examens cytologiques permettent d’orienter le traitement. Mieux vaut ne pas utiliser d’antimicrobiens quand il n’y a pas d’infection auriculaire.
Le traitement doit durer jusqu’à la guérison clinique et cytologique mais pas au-delà.
Sources :
1. PIEREZAN F., OLIVRY T., PAPS J., et al., « The skin microbiome in allergen-induced canine atopic dermatitis”, Vet. Dermatol. 2016, 27, 322-e82.
En savoir plus :
BENSIGNOR E., GERMAIN P.A., « Les maladies de l’oreille du chien et du chat », 2007, Éditions du Point vétérinaire, collection Sine qua non (ISBN : 9782863262566).
