Auteurs : Dr Richard Froger, DMV Dr Joséphine Dorchies, DMV Clinique veterinaire 64240 Urt
Soit F. une jument Franche Montagne de 12 ans ayant une activité de loisirs. La jument est présentée en consultation pour comportement d’étalon évoluant depuis 1 an. La jument vit au pré et est à jour de ses vaccins grippe tétanos et rhinopneumonie.
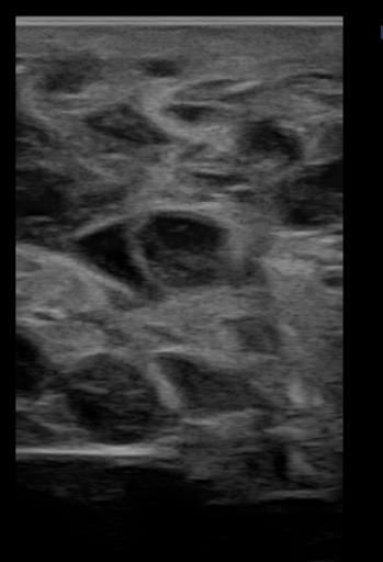
L’examen clinique général de F ne présente pas d’anomalie. Une palpation transrectale met en évidence un ovaire droit de taille augmentée. Une échographie de cet ovaire par voie trans rectale est réalisée montrant un aspect en nid d’abeille (cf photo 1). Au vu de l’aspect de l’ovaire, une tumeur de la granulosa est suspectée. Une ovariectomie unilatérale de l’ovaire droit sous anesthésie générale est proposée et acceptée par le propriétaire.

Photo 1 : Echographie de l'ovaire droit, aspect en nid d'abeille
Mise en garde, ce contenu est destiné aux ayants droit du médicament vétérinaire. Se connecter pour accéder au contenu.
Mise en garde, ce contenu est destiné aux ayants droit du médicament vétérinaire. Se connecter pour accéder au contenu.
Bibliographie
Lemonnier, L.C.; Thorin, C.; Meurice, A.; Dubus, A.; Touzot-Jourde, G.;bCouroucé, A.; Leroux, A.A. Comparison of Flunixin Meglumine, Meloxicam and Ketoprofen on Mild Visceral Post-Operative Pain in Horses.Animals2022,12, 526. https://doi.org/10.3390/ ani12040526 Patrick M. McCue, Janet F. Roser, Coralie J. Munro, Irwin K.M. Liu, Bill L. Lasley,Granulosa Cell Tumors of the Equine Ovary, Equine Practice 2006, 22, 3, pp. 799-817, ISSN 0749-0739, https://doi.org/10.1016/j. cveq.2006.08.008 Brinski, S.P.; Blanchard, T.L.; Varner, D.D.; Schumacher, J.; Love, C.C.; Hinrichs, K.; Hartman, D.Manual of Equine Reproduction, 3rd edition, Mosby Saunders, 2010
